Блефаропластика по дням – фото, как идет восстановление
Раз – и ты красотка с обложки Cosmopolitan и Vogue! Мечты о пластике такие радужные и безоблачные. Но хирурги не волшебники и не могут взмахом скальпеля мгновенно избавить нас от морщин, синяков, пигментных пятен. Эффект от любой операции проявляется далеко не сразу – восстановительный период занимает от нескольких недель до нескольких месяцев. Касается это и блефаропластики. Путь к идеальной внешности тернистый, но он того стоит. Чтобы не переживать за отражение в зеркале сразу после хирургического вмешательства, предлагаем посмотреть, как выглядят результаты пластики век по дням на фото.
Блефаропластика в зависимости от сложности занимает от 30 минут до 2 часов. По окончании операции пациента отправляют в палату. На веки наклеивают стрипы. К лицу прикладывают лед для уменьшения отека. Болей обычно нет или они незначительные. В стационаре нужно провести от 1-2 часов до 1 суток. Сколько придется пробыть в больнице, решает хирург с учетом сложности операции и риска возникновения осложнений у конкретного пациента.

Фото до, сразу после и через несколько месяцев с момента блефаропластики
В первый день после операции начинает нарастать отек. Не нужно этого пугаться, это естественный процесс. Чтобы уменьшить отечность, к области операции прикладывают холодные повязки с антисептиком.

Блефаропластика – фото в 1 день
После блефаропластики – 2-3 день
На 2-3 сутки продолжает нарастать отечность, могут наблюдаться слезотечение или сухость глаз, небольшое головокружение, онемение в прооперированной зоне, светобоязнь. В этот период отек максимальный, так что не стоит пугаться своего отражения в зеркале.

Блефаропластика – фото во 2 день. Отеки и краснота нарастают
По назначению лечащего врача можно принять мочегонные или обезболивающие средства. Также продолжают накладывать холодные компрессы на периорбитальную область, спать полусидя, чтобы уменьшить отечность. С 3 суток можно мыть голову, принимать прохладный душ, но так, чтобы вода не попадала на прооперированную зону. Желательно снизить нагрузку на глаза – долго не читать, не смотреть телевизор.

Блефаропластика – фото в 3 день после операции. Самая большая отечность
После блефаропластики – 4-6 день
С этого дня лицо начинает выглядеть лучше. Отек становится меньше, веки уже не так напряжены. Постепенно отступают все послеоперационные симптомы. Если операция проводилась с использованием нерассасывающихся нитей, на 5-7 сутки необходимо посетить врача для снятия швов. После этого на веки снова накладываются стрипы.
После блефаропластики – 1 неделя
Самый сложный период восстановления позади. Отеки сильно уменьшаются, синяки практически полностью сходят. Можно уже возвращаться к работе, хотя желательно провести дома 2 недели. Стрипы снимаются примерно на 5-9 день или раньше.
Важно! Не стоит маскировать оставшиеся синяки и покраснения с помощью макияжа – это может привести к воспалению.

Блефаропластика – фото через 1-2 недели. Отеки и синяки постепенно сходят
После блефаропластики – 2 недели
Синяки к этому времени полностью проходят, отеки еще сильнее уменьшаются. Начинает спадать краснота, хотя на местах, где были швы, она все еще сохраняется. Глаза практически не слезятся, не так сильно реагируют на свет. Можно начинать использовать легкую гипоаллергенную косметику.
После блефаропластики – 3 недели
Видимых следов операции уже нет, отеки незначительные. Места швов выглядят как тонкие красные полоски, их легко замаскировать с помощью косметики. Можно возвращаться к занятиям спортом, но пока еще избегать больших нагрузок.
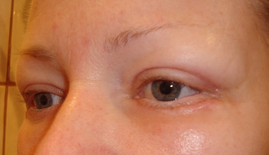
После блефаропластики – 1 месяц
Через месяц после операции уже можно оценить ее результаты. Конечно, еще сохраняется некоторый отек, можно различить рубцы. Полностью эффект от блефаропластики проявится где-то через 6-12 месяцев в зависимости от сложности операции и особенностей организма пациента. Но уже можно возвращаться к привычному ритму жизни и наслаждаться своим новым отражением в зеркале.

Блефаропластика – фото через 1 месяц. Швы еще заметны и есть небольшой отек, но результаты уже налицо
Мы рассмотрели здесь классическую блефаропластику. Есть и менее травматичные методы пластики век, например, лазерная безоперационная. При ней восстановление идет гораздо быстрее. Многие даже делают процедуру в пятницу, а в понедельник уже возвращаются на работу. Но какой бы вариант хирургического вмешательства вы не выбрали, помните – результат не будет мгновенным. Так что не расстраивайтесь, когда увидите себя в зеркало, а подождите хотя бы месяц.